Ai nên điều trị cười hở lợi?
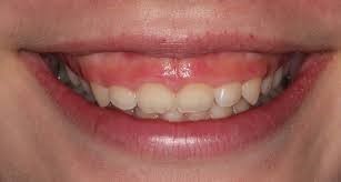
Điều trị cười hở lợi là giải pháp tối ưu nhất trong các trường hợp khi cười có sự mất cân đối giữa các bộ phận môi, răng, lợi, lợi lộ ra quá 3mm tính từ chân răng.
- Cười hở lợi do răng quá ngắn
- Cười hở lợi do xương hàm trên phát triển quá mức
- Cười hở lợi do môi trên ngắn
- Cười hở lợi do cường cơ nâng môi trên, mô lợi bị phì đại.
- Việc quá phát triển xương ổ răng làm phần lợi hở vượt chuẩn.
- Cười hở lợi xuất phát từ nhiều nguyên nhân khác nhau
Điều trị cười hở lợi có tốt không?
Điều trị cười hở lợi đang được rất nhiều người lựa chọn để khắc phục khiếm khuyết này, giúp hoàn thiện nụ cười, lấy lại sự tự tin trong giao tiếp. Vậy, phương pháp này có tốt không, mang lại những lợi ích như thế nào?

Khắc phục hiệu quả và duy trì lâu dài
Bằng việc điều chỉnh nướu, lợi, cơ môi hoặc xương hàm… Sau khi điều trị cười hở lợi bạn sẽ có được nụ cười tỏa sáng, rạng rỡ, tỷ lệ chuẩn, không còn hở lợi kém thẩm mỹ như trước đây nữa. Đặc biệt, kết quả thực hiện duy trì lâu dài, ổn định theo thời gian.
Không đau đớn và không lộ sẹo
Tùy theo tình trạng từng người, phương pháp áp dụng mà sẽ gây tê hoặc gây mê, vì vậy khi thực hiện khách hàng hoàn toàn không có cảm giác đau đớn, khó chịu. Bên cạnh đó, toàn bộ quá trình chữa cười hở lợi đều thực hiện trong khoang miệng và sau khi hoàn tất, bác sĩ sẽ tiến hành khâu đường viền lợi bằng chỉ thẩm mỹ nên không để lại sẹo xấu hay bất cứ dấu vết thẩm mỹ nào.
Hồi phục nhanh chóng
Không chỉ thực hiện trong khoảng thời gian rất ngắn, chỉ khoảng từ 1 – 2 giờ, kỹ thuật nhẹ nhàng, mà phương pháp chữa cười hở lợi còn chiếm trọn cảm tình của đông đảo khách hàng cũng như bác sĩ chuyên kha bởi vùng lợi, nướu sau điều trị sẽ nhanh chóng phục hồi. Khách hàng không mất quá nhiều thời gian nghỉ dưỡng.

Quy trình điều trị cười hở lợi an toàn và hiệu quả tại Nha Khoa Nhân Hòa
1/ Thăm khám và kiểm tra bằng máy X-quang
Đầu tiên, bác sĩ sẽ thăm khám tổng quát răng miệng của khách hàng. Nếu khách hàng bị cười hở lợi không phải do răng quá ngắn, nướu phát triển quá mạnh bẩm sinh, lợi bám thấp hoặc phì đại, trường lực cơ vòng môi quá lớn khiến cho môi bị nâng theo chiều lên cao quá nhiều khi cười… Mà bởi xương hàm phát triển thiếu hợp lý, thì sẽ được đưa đi chụp X quang Cone Beam CT 3D, hệ thống Panorex – Cephalometric để biết chính xác tình trạng.
2/ Lập phác đồ điều trị
Với trường hợp cười hở lợi do hàm kết quả chụp phim sẽ được đưa về phần mềm phân tích Vceph công nghệ mới nhất, tại đây bác sĩ sẽ lập phác đồ chuẩn xác từng milimet: vị trí cắt chỉnh xương hàm, tỉ lệ lợi thừa cần cắt bỏ, tỉ lệ răng cần dịch chuyển…Đặc biệt, thiết bị này còn mô phỏng kết quả trước khi thực hiện trên hình ảnh không gian 3 chiểu để khách hàng có thể nhìn thấy được. Trường hợp, khách hàng cười hở lợi bởi răng, lợi, nướu, cơ môi thì bác sĩ sẽ lên kế hoạch điều trị chi tiết bao gồm phương pháp thực hiện, chi phí, thời gian…
Sau đó, bác sĩ giao kế hoạch điều trị cho khách hàng và nếu khách hàng đồng ý làm, bác sĩ sẽ tư vấn cách thức, giải đáp mọi thắc mắc liên quan đến cho khách hàng
3/ Kiểm tra sức khỏe, vệ sinh răng miệng
Trước khi thực hiện để đảm bảo khách hàng đủ điều kiện chữa trị, giúp tránh gây nên những biến chứng ảnh hưởng đến sức khỏe, bác sĩ sẽ thực hiện các xét nghiệm sinh hóa bắt buộc. Bên cạnh đó, bác sĩ còn tiến hành vệ sinh răng miệng, điều trị các bệnh viêm nha chu nhằm ngăn ngừa tình trạng viêm nhiễm. Đồng thời, một số trường hợp khách khách hàng sẽ được lấy dấu mẫu hàm để cung cấp đầy đủ số liệu cho ca phẫu thuật.
4/ Tiến hành chữa cười hở lợi
Dựa vào phác đồ điều trị đã lập ra, bác sĩ sẽ tiến hành điều trị cho bệnh nhân theo đúng quy trình và kỹ thuật yêu cầu. Hiện nay, có 3 phương pháp chữa cười hở lợi chính sau đây:
+ Do cấu trúc xương hàm: Trong trường hợp khách hàng bị cười hở lợi do cấu trúc xương hàm phát triển quá mức bác sĩ sẽ sử dụng máy cắt xương siêu âm Aesculap để cắt chỉnh xương hàm về vị trí hợp lý, sau đó định vị lại bằng mini vis và khâu niêm mạc bằng chỉ sinh học.
+ Do môi: Bác sĩ sẽ tiến hành tiểu phẫu cắt thắng môi, má để kiểm soát không cho môi kéo lên cao nhiều khi cười.
+ Do răng: Nếu răng quá ngắn bác sĩ sẽ chỉ định cắt nướu và làm dài thân răng giúp hạn chế tối đa tình trạng cười hở lợi quá nhiều.
Nha Nhân Hòa – Địa chỉ điều trị cười hở lợi uy tín và chất lượng
Hi vọng với những thông tin trên có thể giải đáp được các thắc mắc của bạn. Hãy đến ngay phòng khám Nha Khoa Nhân Hòa để nha sĩ tiến hành kiểm tra và đưa ra các chỉ định kịp thời.
PHÒNG KHÁM NHA HOA NHÂN HÒA
Địa chỉ: 149 Đặng Thái Thân – TP Vinh – Nghệ An
Hotline : 0238.625.8686 - 092.795.8668
Fanpage: https://www.facebook.com/nhakhoanhanhoa - Nha khoa Nhân Hòa – Ths.Bs.Đại học Y Hà Nội
