Cách khắc phục viêm nha chu răng lung lay
1. Viêm nha chu răng lung lay là bệnh gì?
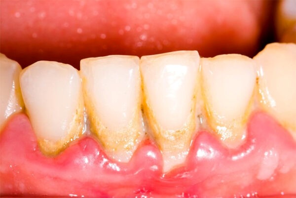
Viêm nha chu răng là một vấn đề thường gặp ở người trưởng thành và người cao tuổi. Điều này dẫn đến tình trạng viêm nhiễm các mô xung quanh răng hoặc nha chu trên diện rộng. Tình trạng viêm có thể bắt đầu từ viêm nướu, lan rộng đến xương ổ răng. Thậm chí ổ viêm còn ảnh hưởng đến dây chằng răng. Khi viêm nhiễm trở nặng, răng có thể bắt đầu lung lay.
Nếu không nhận thức và điều trị kịp thời, tình trạng lung lay răng sẽ trở nên nghiêm trọng hơn. Trong một số trường hợp nặng, bệnh có thể từ viêm dẫn đến mất răng. Từ đó gây ảnh hưởng đáng kể đến tâm lý và ngoại hình của người bệnh.

Bệnh viêm nha chu răng không chỉ gây đau đớn, mà còn gây tụt nướu, chảy máu chân răng. Thậm chí, suy yếu xương ổ răng và gây hôi miệng. Tình trạng lung lay của viêm nha chu tạo ra nhiều bất tiện trong cuộc sống. Vì thế, người bệnh nên có kiến thức về bệnh này và tìm đến các cơ sở điều trị uy tín.
2. Nguyên nhân dẫn đến viêm nha chu làm răng lung lay
Hàng ngày, việc không chú ý đến vệ sinh răng miệng và thói quen ăn uống dẫn đến việc các mảng thức ăn nhỏ, cặn bám vào răng. Lâu dần, cặn này tích tụ trong những kẽ nhỏ và trên bề mặt răng. Trong khi bạn không vệ sinh răng hoặc súc miệng sau ăn 30 phút, các mảng cặn sẽ bám vào răng.
Khi cặn thức ăn vẫn còn dính trên răng và tiếp xúc với nước bọt, axit sẽ được tạo ra. Theo thời gian, việc này lặp đi lặp lại, tạo điều kiện cho vi khuẩn phát triển. Chúng thường hoạt động ẩn nấp trong lớp cặn trên răng và cổ răng. Sau đó tạo ra một môi trường ưa thích cho vi khuẩn và gây ra viêm nha chu.

Trong khoang miệng, sự hiện diện của cặn vôi răng tạo ra môi trường thuận lợi cho vi khuẩn gây hại phát triển. Đặc biệt, chúng tấn công và kích thích nướu, các mô mềm, gây ra các tình trạng viêm nướu. Nặng hơn gây viêm nhiễm nha chu và có thể dẫn đến viêm tủy răng.
3. Các tác động nguy hiểm của bệnh viêm nha chu là gì?
Bệnh viêm nha chu ở giai đoạn đầu thường không có triệu chứng rõ ràng nên khó nhận ra. Trong lúc đó, bệnh vẫn tiến triển và không gây đau đớn cho người bệnh. Điều này dẫn đến tâm lý chủ quan, lơ là và ít khi tìm kiếm giải pháp từ nha khoa để chữa trị. Tuy vậy, khi bệnh nhân đến nha khoa để điều trị, bệnh viêm nha chu lúc này đã nặng. Nghiêm trọng hơn, tạo ra viêm nhiễm ở mô nướu và xuống cả mô nha chu bên dưới.
Dưới đây là một số hệ quả của bệnh viêm nha chu mà nó ảnh hưởng đến sức khỏe răng miệng:
3.1 Tụt nướu:
Tình trạng viêm kéo dài làm tổn thương dây chằng, mô nướu và xương ổ răng, khiến nướu rút dần về phía cùi răng.
3.2 Hôi miệng:
Các mảng bám, vi khuẩn và thức ăn tích tụ dưới nướu gây ra mùi hôi miệng khó chịu.
3.3 Chảy máu răng:
Nướu bị viêm khi bệnh nhân ăn uống hoặc thực hiện vệ sinh răng, làm cho nướu dễ chảy máu hơn.
3.4 Tiêu xương ổ răng:
Trong trường hợp không được điều trị kịp thời, bệnh viêm nha chu có thể dẫn đến sự tiêu mòn xương ổ răng, khiến răng trở nên lung lay và mất chắc khỏe.
3.5 Các vấn đề răng miệng khác:
Vi khuẩn gây viêm nha chu cũng có thể tấn công răng, gây hoại tử tủy, viêm tủy và gây đau nhức.
3.6 Ảnh hưởng đến hệ tiêu hóa:
Nồng độ vi khuẩn cao trong khoang miệng có thể ảnh hưởng đến hệ tiêu hóa khi chúng theo thức ăn xuống.
3.7 Tăng nguy cơ đột quỵ:
Vi khuẩn từ nướu bị viêm có thể xâm nhập vào hệ tuần hoàn máu thông qua các vết chảy máu trên răng. Từ đó, nguy hiểm nhất là làm tăng nguy cơ đột quỵ.
Thậm chí, phụ nữ mang thai khi mắc bệnh viêm nha chu cũng có thể đối mặt với nguy cơ sinh non và nhẹ cân.
4. Cách khắc phục viêm nha chu răng lung lay
4.1 Phương pháp chữa trị không cần phẫu thuật:
Trong trường hợp viêm nha chu chưa phát triển quá nghiêm trọng thì không phải phẫu thuật. Nha sĩ sẽ thực hiện việc làm sạch vết cặn vôi trên răng và xử lý bề mặt gốc răng.
Nhờ các công cụ chuyên dụng bác sĩ sẽ loại bỏ hoàn toàn cặn vôi và mảng bám. Các sóng âm chỉ tác động vào vùng cặn vôi, không ảnh hưởng đến men răng.
Tùy từng người, bác sĩ có thể đề xuất sử dụng kèm thuốc kháng viêm và giảm sưng.
4.2 Phương pháp chữa trị bằng phẫu thuật:
Trong những trường hợp nặng, nha sĩ sẽ phải thực hiện các biện pháp phẫu thuật như rạch áp xe, nạo túi nha chu…
– Cạo vôi răng và nạo túi nha chu loại bỏ ổ viêm:
Mục tiêu của phương pháp này là loại bỏ toàn bộ ổ vi khuẩn, bảo tồn răng thật cho người bệnh. Nạo túi nha chu thực hiện một lần duy nhất, không đau. Sau đó, người bệnh chỉ cần duy trì vệ sinh và định kỳ làm sạch vôi răng.

Hi vọng với những thông tin trên có thể giải đáp được các thắc mắc của bạn. Hãy đến ngay phòng khám Nha Khoa Nhân Hòa để nha sĩ tiến hành kiểm tra và đưa ra các chỉ định kịp thời.
PHÒNG KHÁM NHA HOA NHÂN HÒA
Địa chỉ: 149 Đặng Thái Thân – TP Vinh – Nghệ An
Hotline : 0238.625.8686 - 092.795.8668
Fanpage: https://www.facebook.com/nhakhoanhanhoa - Nha khoa Nhân Hòa – Ths.Bs.Đại học Y Hà Nội
